尊敬的用户:根据《医疗器械监督管理条例》企业经营医疗器械提供相关经营资质,谢谢配合!
注册证号:国食药监械(进)字2014第2220633号
找维修
找配置
找授权
找证件
找寰熙
产品特征:
1.高清晰的OCT可进行广域扫描(12 x 9 mm),具备SLO功能
2.高清导航追踪功能
3.OCT灵敏度可选
4.具有眼球旋转追踪(TET)功能
5.多功能随访
6.自定义报告
详细信息:
高清晰的OCT可进行广域扫描(12 x 9 mm),具备SLO功能
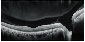
12 mm水平扫描可在单幅图像上观察从黄斑到视盘的宽大区域。
*正常眼数据库基于9 x 9 mm的区域


高清导航追踪功能
RS-3000 Advance 配备“高清导航追踪”功能,可追踪不自主的眼球运动,从而在SLO图像上保持相同的扫描位置,实现精确的图像采集。该功能可对多达120张的图像进行叠加。

OCT灵敏度可选
根据病理,选择适宜灵敏度,图像采集的分辨率更高,速度更快。配备超精细、精细和普通灵敏度。

具有眼球旋转追踪(TET)功能
眼球旋转追踪(TET)可使用从高分辨率SLO图像获取的眼底信息,确保精确的图像采集。眼球旋转则通过追踪功能中增加的旋转校正功能进行修正。

多功能随访
多功能随访可对通过OCT获得的所有数据进行分析,并可仔细观察视网膜厚度和状态随时间的变化。该功能可显示短期、中期及长期的病理进展趋势。对比模式显示由用户选择,用于比较和分析视网膜厚度的两幅图像。


自定义报告
报告的布局可自定义,并且来自各扫描模式的不同报告的数据可汇总为一份报告,一目了然。
