相比与其他影像技术,超声在气道管理中有其独特的优势。舌体、扁桃体、甲状软骨、环甲膜、环状软骨、气管、食管、胸膜、横膈等均是气道管理中重要的解剖结构。本篇文章将详细描述这些解剖结构的超声影像,让气道结构的即时可视化成为可能。


图1a. 将探头置于假声带水平取横断面超声影像,图中标识F为高回声的脂肪;M为低回声的肌肉组织,暗区内可见高亮的筋膜结构;C为低回声的软骨结构,其超声影像因其钙化程度而有差异,总体来说,回声较其周边的脂肪组织低。b.将探头置于右颈部取纵切面,CA为线性管状的颈动脉,其内为无回声的血液;V为颈椎椎体,超声很难穿过骨性结构,因此会在其表面形成高亮的反折线,其下形成伪影

图2a. 将探头置于颏下区取横断面,绿色区域为舌体,红色为口腔内肌肉组织,蓝色为下颌骨及其伪影。b.将探头旋转90度并置于中线位置,取此区域的长轴影像
图3 a. 探头置于下颌骨水平取纵断面,黄色为颌下腺,红色为颈外动脉,棕色为扁桃体。b. 将探头旋转90度所得此区域的影像

图4a. 假声带水平横截面显示,黄色为带状肌,蓝色为甲状软骨,橙色为假声带。b.将探头轻微向尾端移动至真声带水平,蓝色为甲状软骨,橙色为真声带,红色为前联合,黄色为杓状软骨
图5 a. 将探头继续下移,蓝色为低回声的气管环前壁,绿色为多层环状结构的食道,红色为颈动脉。b. 将探头继续下移,甲状腺影像逐渐消失

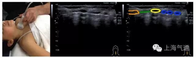
图6探头置于颈部取纵切面,橙色标记为甲状软骨,绿色为环甲膜,黄色为环状软骨,蓝色为气管环,气管内空气向下投射成连续的亮线,因而妨碍了深部结构的成像

图7探头置于上胸部锁骨中线肋间隙处取纵切面,棕色为上下肋骨成像,并在后方形成了伪影(黄色),蓝色为胸膜(壁层和脏层)形成的高亮回声线,可伴随呼吸动作轻微移动(即胸膜滑动征)

图8探头置于肋下,右半横膈超声影像为高亮回声线(标记为橙色),吸气时会迎向探头方向移动。左半横膈因为心脏的位置而较难定位
(好了,本文展示告一段落。祝关注气道超声的同道好好学习,天天进步!)
合规既生命!
Copyright © 2009-2020 huanxiyl.com All rights reserved
工信部备案号:沪ICP备10211914号-2
沪公安网备: 31019002000128
电子营业执照: 91310116550009229L
互联网药品信息服务资格证: (沪)-非经营性-2019-0011
医疗器械经营许可证:沪宝食药监械经营许20210134号 沪宝食药监械经营备20210168号
违法和不良信息举报电话:4000341688 浙械广审(文)第260817-00667号
知识产权侵权投诉: 寰熙不生产医疗产品,所有产品均来自于各产品的生产厂商、代理商、经销商,如有侵权请联系:400-034-1688,我们会在第一时间处理!