
20181004值班交班:急诊2台。鼻止血术1例,术顺安返;气道异物取出术1例,患儿13月龄因误呛板栗1天入院,术前CT示异物位于右主支气管,右美托咪定复合丙泊酚和芬太尼保留自主呼吸下顺利取出异物,置换喉罩后平稳苏醒,安返病房。仪器设备正常。 一值刘医生(住院医师) 二值徐医生(主治医师) 清晨告别熟睡中的女儿,来到医院门口,被眼前的一幕震惊了,没想到黄金周的第一个门诊日,候诊病人的队伍竟然堪比景区。准时到达科室后与前日值班人员进行交接班工作,认真核对值班药箱、抢救物品和应急设备,确认科室电话拷机和信息系统无异常。

(汾阳路排队看病人群的常态)
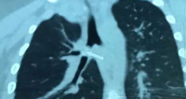
下午接诊一例鼻出血患者,经门诊多次填塞止血后仍有出血,考虑随时有鼻出血加重可能,外科医生与我们协商后决定全麻下为患者行鼻内镜下止血术。患者坐在候诊区,低着头不断地擦拭着吐出的血性液体,家属不安地站在身旁。仔细询问病史,患者告诉我: “出了好多次血了”; “这两天我吃也吃不下,睡也睡不好”; “昨天晚上开始就没吃任何东西了,吃不下”。 看着病人惴惴不安的样子,我只能轻声安慰“会好起来的”。考虑患者清醒合作,咽下血性液体不多,决定行喉罩下全身麻醉。患者入手术室后,心电监护下予面罩吸氧,开放静脉,备好吸引设备,经充分去氮给氧后快速静脉诱导,置入双管喉罩后行控制通气和胃肠减压。手术历时80分钟,喉罩通气良好,清除口腔内残留的血液,充分镇痛下待患者恢复自主呼吸,配合指令动作后拔除喉罩。 本以为这个值班就这样过去了,清晨6点拷机忽然响起,被告知有一例13月龄的小儿气道异物,来不及洗漱我就冲到楼下,准备好药物及紧急气道插管工具。 患儿由父母和爷爷抱到等待室,即使在妈妈的怀里,眼中仍充满了不安。妈妈一边流泪一边诉说着病史,昨天姐姐抱着弟弟玩,爷爷给他们喂板栗,难得回一次老家,大家特别高兴。突然姐弟俩摔了一跤,弟弟含着一嘴的板栗哇哇大哭,妈妈赶紧跑过去抠出儿子口中的板栗,但孩子仍然被呛得不停地咳嗽,午后孩子不但频繁咳嗽,还喘得厉害。家长带着他一路从当地县中心医院、市医院辗转到上海儿童医院,最后凌晨3点赶到我们医院。 (患儿术前CT片) 患儿近期患幼儿急疹已愈,既往有湿疹史,对多种食物过敏,听诊右上肺无呼吸音,左肺稍许哮鸣音,我们讨论后决定保留呼吸下经支气管镜行气道异物取出术。二线医生把患儿抱入手术室坐在怀里,吸着麻醉药慢慢入睡,开放静脉后我们使用静脉药物成功保留住了自主呼吸,整个手术过程中,患儿自主呼吸平稳,氧供充分,为外科医生提供了良好的手术条件。其实,板栗这样的气道异物,对外科医生来说难度颇大,钳子一夹“泡软的”板栗就碎了,非常难取,但是在主刀医生的不懈努力下还是把堵塞的气道清理干净了。 (异物——“泡软”的板栗) 术后我们置入了一枚双管喉罩,等待患儿苏醒。这时接班医生来了,由于气道异物患儿的苏醒期仍有发生突发事件的风险,我们不放心走,四个麻醉医生一起围坐在孩子身边。看着他睁开眼睛找妈妈,我们悬着的一颗心也放了下来。

麻醉科医生总是忙碌在手术台的边缘,在报警的监护边,默默地守护着。麻醉药让患者“睡着”以后,他们停止了呼吸,但他们很安全,他们的心脏在跳,他们的血液在流转,他们的胸膛依然在起伏,生命就表现为监护仪上的一项项指标,每个数字或者图形的变化都牵动着我们的心,随时需要作出正确的判断与处理。我们的手中没有可以拯救患者的手术刀,但我们的心是与他们紧紧相连的。每一天我们都如履薄冰地感受着生命的顽强与脆弱,生命的喜悦与悲哀,病人的平安才是我们最大的幸运。
合规既生命!
Copyright © 2009-2020 huanxiyl.com All rights reserved
工信部备案号:沪ICP备10211914号-2
沪公安网备: 31019002000128
电子营业执照: 91310116550009229L
互联网药品信息服务资格证: (沪)-非经营性-2019-0011
医疗器械经营许可证:沪宝食药监械经营许20210134号 沪宝食药监械经营备20210168号
违法和不良信息举报电话:4000341688 浙械广审(文)第260817-00667号
知识产权侵权投诉: 寰熙不生产医疗产品,所有产品均来自于各产品的生产厂商、代理商、经销商,如有侵权请联系:400-034-1688,我们会在第一时间处理!