细线伪影 (fine line artifact)
原因:
来源于射频脉冲的受激回波对图像采集的第一个回波产生干扰。
下面是典型的SE脉冲。
但是当射频线圈关闭之后,仍然接受到了射频信号激发的180°脉冲后的FID信号。
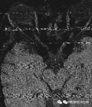
图像特点:
伪影较细小,出现在图像的局部,可能比较模糊,甚至需要在特殊窗宽窗位下才能发现。
Zip512可以使伪影更佳明显。
解决方法:
采用真正的偶数NEX
-----------
拉链伪影
原因:
自由感应衰减还没有完全衰减之前,180°脉冲的侧峰就与它产生重叠。或者领近层面不精确的射频脉冲造成一个未经相位编码就激励的回波。
伪影图像特点:
沿频率编码轴(0相位)交替的亮点与黑点组成的中心条带,或噪声带。
解决方法:
? 增大TE
? 增大层厚,通过选择更大宽的射频带宽,使之在时间域变窄。
? 请工程师检修。
射频噪声造成的拉链伪影
原因:
不需要的外界无线电频率的噪声。
图像特点:
不需要的射频脉冲发生在一个(或一系列)特定的频率。沿相位方向排列的“拉链状伪影”
解决方法:
关进扫描间的门;去除监护装置;请工程师检修
Zoom线圈拉链伪影
原因:
前置饱和脉冲激发了zoom线圈以外的组织,被卷褶进了扫描区。
图像特点:
在扫描区域沿相位方向的拉链状伪影
解决方法:
? Zoom线圈模式时根据扫描范围选择相应的线圈,不要过多选择。
? 采用whole模式
合规既生命!
Copyright © 2009-2020 huanxiyl.com All rights reserved
工信部备案号:沪ICP备10211914号-2 沪公安网备: 31019002000128
电子营业执照: 91310116550009229L
互联网药品信息服务资格证: (沪)-非经营性-2019-0011
医疗器械经营许可证:沪宝食药监械经营许20210134号 沪宝食药监械经营备20210168号
违法和不良信息举报电话:4000341688 浙械广审(文)第260817-00667号
知识产权侵权投诉: 寰熙不生产医疗产品,所有产品均来自于各产品的生产厂商、代理商、经销商,如有侵权请联系:400-034-1688,我们会在第一时间处理!