尊敬的用户:根据《医疗器械监督管理条例》企业经营医疗器械提供相关经营资质,谢谢配合!
注册证号:粤械注准20152310370
找维修
找配置
找授权
找证件
找寰熙
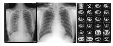
典型应用
对于片库多、胶片数量比较大的医院,海量的病人胶片管理给医院带来了很大的难题,在这种病人信 息查找与管理简易化、医院工作效率化的双重压力下,胶片库的数字化管理成为大势所趋。针对胶片库扫描领域,安健医用胶片扫描仪发挥了快速、准确、稳定的专 业优势,降低了医院的运行成本,提高医院的工作效率,实现医疗资源的共享。其他应用
应对乳腺胶片对分辨率的要求,还可精确扫描各式乳腺胶片中的*细小的软组织病变以及微细钙化,提供乳腺影像特殊需求的超高光学分辨率,简便易用,是乳腺片数字化的*佳伙伴。

特色
1.扫描幅面大,*大为14″× 17″,满足所有医用胶片扫描要求。
2.核心部件采用进口CCD,扫描速度快。
3.扫描图像清晰细腻,影像暗部细节清晰,亮部真实再现。
4.专业滚筒式设计,放片、取片方便快捷;使用封闭式光源,保护医生眼睛。
5.独有自动除尘及自动进片设计,极大的提高工作效率。
品质保证
公司坚持产品质量是企业生存的根本,我们建立了完善的产品品质保证系统,从产品设计、原料采购、生产过程、成品检验、运输安装、售后服务,一丝不苟地按ISO13485质量体系要求完成产品工作。
理念
○以不断的创新技术、提高产品品质和服务打造公司的核心竞争力
○客户满意是评价我们一切工作的基础
扫描样片